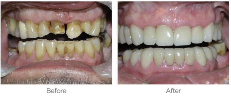
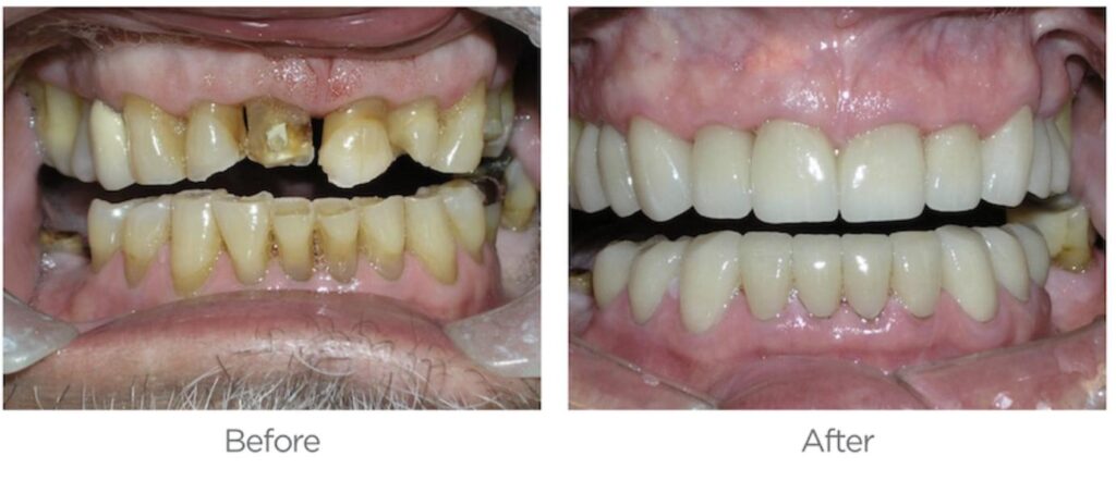
San Diego Dental Center is a premier dental practice in La Mesa, CA, serving patients throughout San Diego, La Jolla, and El Cajon. Our practice offers a complete range of dental services, including advanced dental implant procedures, cosmetic dentistry, and general oral healthcare in a comfortable, patient-focused environment. We provide free dental implant consultations with 3D scanning technology to ensure personalized treatment planning. With extended weekday hours and Spanish-speaking staff, we make quality dental care accessible to all patients. Our highly-rated team (4.9/5 stars from over 430 reviews) is committed to creating beautiful, healthy smiles through compassionate care and advanced dental techniques. Conveniently located in Grossmont Center, we welcome new patients and offer flexible scheduling options.
Phone: 619-462-8550